drbob@sekijimaorthodontics.com

(425) 235-4830

before & after

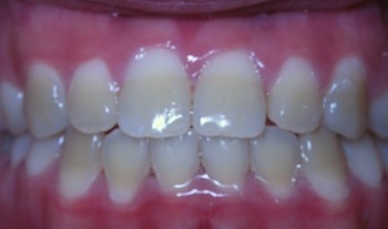
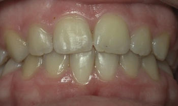
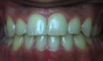
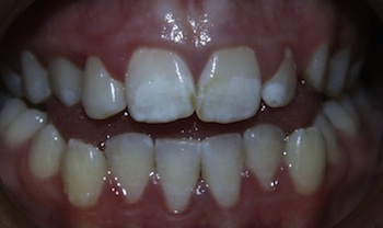
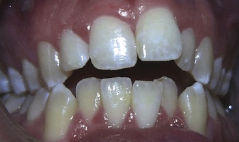
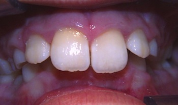
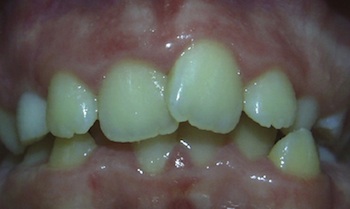
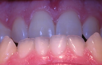
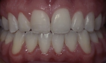
Buck Teeth

Buck Teeth Before Buck Teeth After

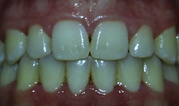
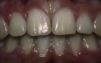
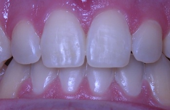
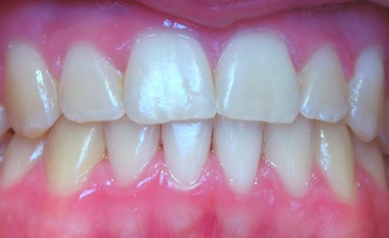
Overbite

Overbite Before Overbite After

Underbite

Underbite Before Underbite After

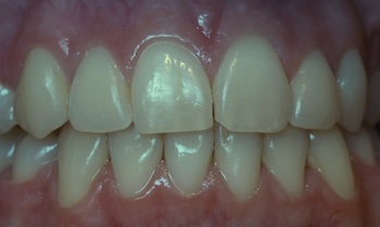
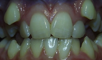
Crowding

Crowding 1 Before Crowding 1 After
Crowding 2 Before Crowding 2 After
Crowding 3 Before Crowding 3 After

Anterior Crossbite

Anterior Crossbite Before Anterior Crossbite After

Anterior Openbite

Anterior Openbite Before Anterior Openbite After

Asymmetric Underbite

Asymmetric Underbite Before Asymmetric Underbite After

Posterior Crossbite Anterior Openbite

Posterior Crossbite Anterior Openbite Before Posterior Crossbite Anterior Openbite After